Την περασμένη εβδομάδα επιβεβαιώθηκαν 23 νέα κρούσματα, αυξάνοντας το σύνολο στα 257 αφότου εντοπίστηκε για πρώτη φορά στη χώρα ο ιός που προκαλεί την ασθένεια αυτή στην Γκάνα, τον Ιούνιο του 2022
Το πρώτο κρούσμα της νέας παραλλαγής του ιού mpox εντοπίστηκε στη Γερμανία, έγραψε σήμερα η εφημερίδα Bild επικαλούμενη το Ινστιτούτο για τη Δημόσια Υγεία Robert Koch. «Στις 18 Οκτωβρίου 2024, μια λοίμωξη με το νέο στέλεχος clade 1b της mpox, που προήλθε από μετάδοση στο εξωτερικό, εντοπίστηκε στη Γερμανία», ανακοίνωσε το Ινστιτούτο προσθέτοντας ότι «ο […]
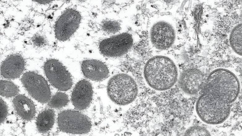
Η νέα έξαρση της mpox στην ήπειρο και η εμφάνιση νέας παραλλαγής του ιού (clade 1b) ώθησαν τον ΠΟΥ να κηρύξει το υψηλότερο επίπεδο συναγερμού σε διεθνές επίπεδο στα μέσα Αυγούστου
Από τον Ιανουάριο μέχρι τις 15 Σεπτεμβρίου φέτος, καταγράφηκαν 29.342 ύποπτα κρούσματα και 812 θάνατοι σε όλη την Αφρική, σύμφωνα με την έκθεση του ΠΟΥ.
Ταξιδιώτες από χώρες όπου έχουν καταγραφτεί κρούσματα θα υποχρεούνται να δηλώσουν εγγράφως αν είχαν επαφή με συμπτωματικούς ασθενείς ή αν παρουσιάζουν οι ίδιοι συμπτώματα
Ο Παγκόσμιος Οργανισμός Υγείας δήλωσε τη Δευτέρα το πρωί ότι θα αρχίσει να χρησιμοποιεί έναν νέο προτιμώμενο όρο, «mpox», ως συνώνυμο της ευλογιάς των πιθήκων...